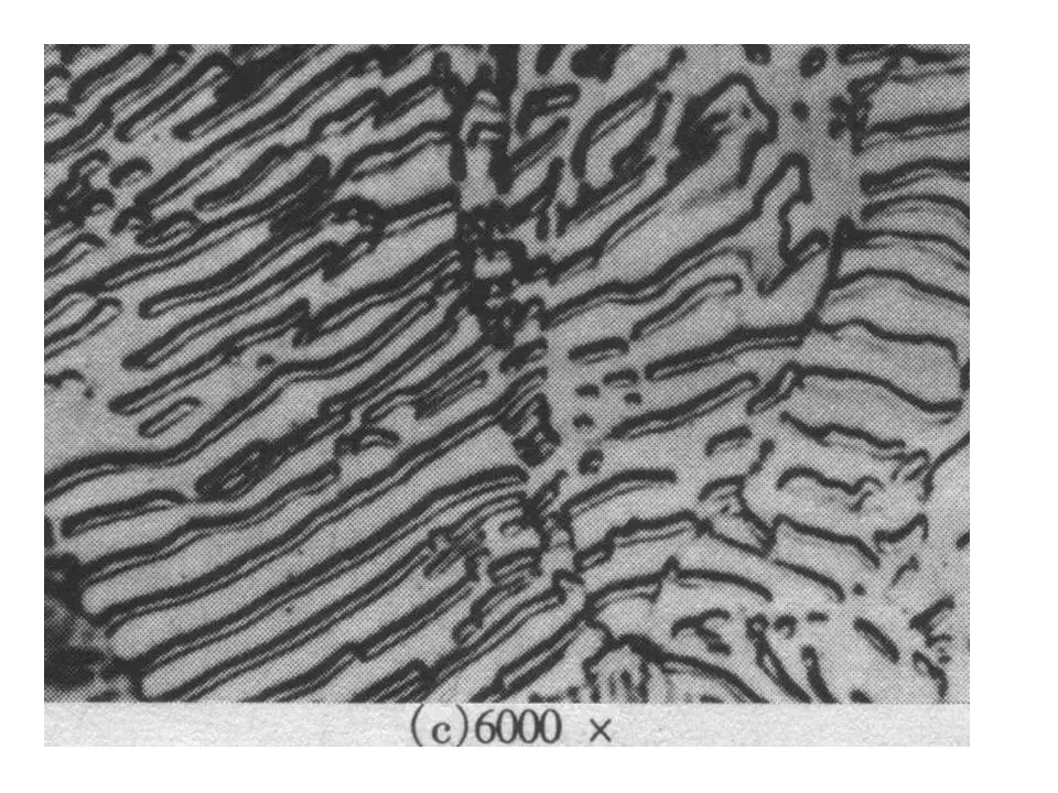
金相培训-共晶相图
2021-05-11 11:19:56 作者:材料成型 来源:热家网 分享至:

 640?wx_fmt=jpeg&tp=webp&wxfrom=5&wx_lazy=1&w

 

 

免责声明:本网站所转载的文字、图片与视频资料版权归原创作者所有,如果涉及侵权,请第一时间联系本网删除。