
【81王晓辉】使用仪器:蔡司光学显微镜。作品描述:于P92钢管的管壁上取样,制成金相试样,在蔡司光学显微镜下进行观察。可见其常温下的组织回火马氏体和残余高温奥氏体,残余奥氏体沿晶界析出。另圈出即将纵身一跃的“小老虎”一只,目光炯炯,无所畏惧,与友一睹为快。

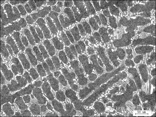
【82曾伟传】材料:H13轧辊。仪器: EPIPHOT200 尼康倒立金相显微镜。作品描述:H13轧辊经锻造、退火、淬火、回火后。锻造温度过高,随后的预备热处理未消除,使淬火后组织遗传下来的晶界平直的粗大晶粒,且晶内长大的马氏体也一样粗大。基体组织为粗大马氏体+碳化物+少量残余奥氏体,用4%硝酸酒精溶液腐蚀。放大倍数:50X。

【83曾伟传】材料:Cr12MoV。仪器: EPIPHOT200 尼康倒立金相显微镜。作品描述:Cr12MoV模具锻造温度过高,共晶碳化物层骨骼状。为体现共晶碳化物形态用4%硝酸酒精溶液深腐蚀。放大倍数:500X。

【84杨鑫鑫】描述:P92钢管的管壁上取样,制成拉伸试样,试样拉断后对断口进行超声波清洗,然后使用Hitachi S-3400对断口进行分析;P92钢管常温下其组织应为回火马氏体。在断口处观察到颜色较黑呈块状的物质,其塑性明显与基体不同,在断口边缘处上呈卷曲的丝带状;在其周边也存在从基体中“长”出的颜色较黑的卷曲的丝带状物质。

【85杨鑫鑫】蚁人。蔡司光学显微镜。作品描述: P92钢锭的尺寸为Φ1200X1400mm,在P92钢锭的芯部取样,P92常温下的组织应为马氏体。在图中可观察到马氏体和奥氏体,两种组织相互环绕。尤其是白色的奥氏体内。

【86魏中洁】高碳钢中少见的组织形貌。仪器:德国ZEISS的AXIOSKOP2-MAT显微镜。作品介绍:加入了合金元素的高碳钢在显微镜100倍下的显微组织,隐针马氏体+碳化物巧妙的排列成了有序的形状,很有立体感。

【87李名军】龟裂的大地。仪器:ZEISS场发射扫描电镜。描述:合金化热镀锌板(DX56D+ZF)通过电化学腐蚀测量其极化曲线。试样晶间腐蚀严重,看起来像龟裂的土地!晶间腐蚀是由于晶界原子排列较为混乱,缺陷多,易产生晶界吸附或析出物,导致晶界与晶粒内化学成分的差异,在适宜的介质中形成腐蚀原电池,晶界为阳极,晶粒为阴极,晶界产生选择性溶解。通过降低C含量,加入铌和钛,热处理和冷加工等措施可以减少晶间腐蚀。

【88王录辰】Z2CN19-10奥氏体不锈钢。仪器 光学显微镜。经腐蚀剂腐蚀(由5gFeCl3,25ml HCL,25ml酒精,1ml H2SO4 配置)。图中可以看到形似三角形却又不够完美似是没有切割完 但却并不影响它那简单的几何美感。

【89邢海东】作品名称:TC4金相组织。设备:蔡斯金相显微镜。材料简介:钛合金TC4。难得一见的钛合金相图,图中包含了α+β相不同阶段组织形态,各个阶段的相图像岩石断层一样排布。

【90李欢】新型高速钢。为了观察其碳化物形貌(碳化物主要由M7C3、 M6C、M2C及 MC组成),故采用多种方法进行表征。图中四个部分的原图均为放大500倍的OM图。1,2,3部分采用5gKMnO4 + 10gNaOH + 100mlH2O 腐蚀剂着色碳化物,来观察碳化物形貌及分布状况。1部分为在明场条件下观察,2,3部分是在偏正光下调参数时无意得到的图,发现这样衬度更好,碳化物与基体区分更明显。4部分为明场下的金相图,其试样经过在10g苦味酸 + 1g KMnO4 + 100mlH2O溶液中,温度为60摄氏度下,“煮”半个小时处理。有一定取向分布的粗羽毛状或菊花状形貌为M7C3、 M6C 两种碳化物伴生成,在1,2部分中,M7C3、 M6C 碳化物将分别染成浅绿至浅 粉红和粉红色;单独的块状或点状碳化物主要是MC碳化物;一定间距的细板条碳化物主要为M2C。
免责声明:本网站所转载的文字、图片与视频资料版权归原创作者所有,如果涉及侵权,请第一时间联系本网删除。
官方微信
《中国腐蚀与防护网电子期刊》征订启事
- 投稿联系:编辑部
- 电话:010-62316606-806
- 邮箱:fsfhzy666@163.com
- 中国腐蚀与防护网官方QQ群:140808414



