腐蚀,看到这两个字你会想到什么,或许有人认为腐蚀离我们很远,或许有人认为腐蚀无关紧要,但事实是腐蚀离我们很近,它悄悄地在破坏,并且造成的危害很大,下面我们慢慢来揭开腐蚀的神秘面纱。
首先我们来解释一下什么叫腐蚀,它是指材料与周围环境发生化学反应、电化学反应,或物理溶解而产生的破坏,这是一种悄悄进行的破坏,其造成的后果十分严重。
金属的腐蚀在多数情况下是属于电化学腐蚀,这种腐蚀发生时,环境介质中一定存在着一种或几种可以将金属氧化的物质,最常见的这种氧化性物质是氢离子(H+,酸性介质中大量存在)和氧气分子(O2,空气中和与空气接触的水中普遍存在)。电化学腐蚀发生时,在金属表面会形成一个腐蚀原电池。如碳钢在酸性介质中,铁表面由于同时有铁和碳,铁电位低于碳电位,成为腐蚀原电池的阳极,而碳电位较高成为阴极(图1)。在阳极区和阴极区,分别发生以下反应:

从而使阳极区域的铁受到溶解破坏。

图1 碳钢在酸性介质中形成的腐蚀原电池
国际公认,因腐蚀造成的经济损失约占世界各国国民生产总值的3~5%。据不完全统计,我国每年由于腐蚀造成的损失高达1.5~2万亿之巨,约占国民生产总值的6%。因腐蚀导致的间接损失,即腐蚀的次生灾害造成的损失更为严重。在日常生活中,腐蚀问题时有发生,不仅影响物品的美观使用,同时也会对人体的健康和出行安全等造成严重威胁。材料的腐蚀无处不在,防腐蚀工作任重道远。
下面我们简单介绍一下生活中的腐蚀。
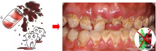
1.牙齿与腐蚀
牙齿是我们身体的重要组成部分,牙齿的损坏可严重影响我们的生活质量。牙齿看似很坚固,其实很脆弱。科学家研究发现,软饮料对牙齿具有腐蚀性,其中部分碳酸类饮料的腐蚀性甚至比蓄电池使用的酸液更强。喝了柠檬水不刷牙漱口,也会使牙齿慢慢腐蚀。许多其他食物和饮品与软饮料一样对牙齿具有腐蚀性,这些食物具有一个共同的特性:酸性。
图2是一个5岁宝宝的牙齿[1],已经成了“可乐牙”。该宝宝从3岁开始喝可乐,而且自从喝上可乐后,再也不肯喝水,他每天要喝3瓶可乐,二年后牙齿成了图2的模样。碳酸饮料中含有大量的酸性物质,对牙齿表面的珐琅质具有溶解作用,另外饮料中还含有大量的糖分,造成口腔中细菌的繁殖和发酵,进一步产生对牙齿有害的酸性物质。

图2 被腐蚀的牙齿
要防止或减缓牙齿的腐蚀,通常可以采用两种方法,一是选用合适的牙膏,在牙齿表面形成保护层,如含氟牙膏可以增强牙齿的抗酸性,抑制细菌发酵产生酸性物质;二是尽可能地缩短牙齿与酸性物质接触的时间,这就要养成勤漱口、勤刷牙的好习惯。
2.餐具与腐蚀
每个家庭都要使用餐具,铁锅,锅铲,菜刀等。时间久了就会出现生锈的迹象,尤其是菜刀上会出现黄色的锈迹(图3),那是因为菜刀切菜时不可避免会沾水,而蔬菜中含有氯化钠等电解质,切菜时在刀面上会形成一层电解质液膜,切完菜后菜刀暴露在空气中,氧气分子进入刀面的电解质液膜,构成了一个腐蚀原电池的体系,其中铁作为阳极被慢慢氧化为铁离子,而液膜中的氧气分子得到电子生成氢氧根离子,亚铁离子和氢氧根离子反应生成氢氧化亚铁,在氧的作用下进一步氧化成氢氧化铁,这就是铁的生锈腐蚀过程,见图4的示意图。想要预防这种腐蚀,一种简单易行的方法是每次在菜刀使用完时将其表面用干燥的抹布擦拭干净,另外也可以从改变菜刀的抗腐蚀性能上来预防,如采用更耐腐蚀的合金钢作为刀具的材料。

图3 被腐蚀的菜刀

图4 菜刀腐蚀示意图
3.烟囱与腐蚀
冬天时,北方地区许多农村家庭家里会有暖气或是炉子,为了防止煤气中毒,需要将烟气排出室外,这就需要使用烟囱,据了解腐蚀烟囱的主要物质是二氧化硫,二氧化硫遇水会变为亚硫酸,亚硫酸在空气中氧化生成硫酸,虽然只是少量,但是整个冬天下来,烟囱已经被腐蚀得千疮百孔(图5)。预防这种腐蚀,可以从烟囱材料的选材和表面处理等方面来解决。
工业和生活中大量使用煤炭作为燃料时,燃烧排出的烟气中因含有二氧化硫而使大气受到污染,遇雨水则形成酸雨,酸雨对室外大气中放置的金属设施,尤其是钢铁类的设施会造成较大的腐蚀,如空调室外机的腐蚀在很多建筑外墙都可以看到,这些室外机虽然表面采用了有机涂层保护,但经过多年的日晒雨淋,一旦表面涂层出现破损,涂层下面的钢板会很快生锈(图6)。这是因为破损处裸露的钢板与受涂层保护的表面区域在潮湿的大气环境中可以形成腐蚀原电池体系,发生同上述菜刀表面相似的腐蚀过程。

图5 被腐蚀的烟囱

图6 被腐蚀的空调外机
4.电器与腐蚀
家用电器在使用过程中也存在腐蚀现象,比如各种电器的遥控器,电动剃须刀,手电筒等需要用到电池,干电池使用不当、或长时间使用或放置会发生漏液现象,电池中漏出的电解液具有强腐蚀性,会腐蚀电池片、弹簧、接线、电路板、电子元器件等金属部件,从而影响电器的正常使用(图,7、图8)。比如酸性干电池发生漏液时,电解液与漏液部位的金属接触,构成一个腐蚀原电池,发生析氢腐蚀,金属失去电子被腐蚀,而氢离子得到电子产生氢气,使得家用电器的相关部件受到损坏。
为了预防这种腐蚀只需在电器不用时将电池及时取出,或进行定期检查。如果已经出现了漏液可以用纸巾擦拭吸干,再反复用湿水的纱布擦拭干净,晾干或吹干。线路板和元件表面最好刷一次清漆。
生活中的材料腐蚀现象还有很多,通过合理的防护可以大幅度降低腐蚀速率,希望全社会都来重视材料的腐蚀问题,降低资源、能源的消耗,使我们的生活更美好。

图6 被腐蚀的电池与手电筒

图7 电池漏液产生的遥控器腐蚀
参考文献:
1.http://www.sohu.com/a/159927647_763379
2.除了图1,其它图片均来自网络。
更多关于材料方面、材料腐蚀控制、材料科普等方面的国内外最新动态,我们网站会不断更新。希望大家一直关注中国腐蚀与防护网http://www.ecorr.org
责任编辑:王元
《中国腐蚀与防护网电子期刊》征订启事
投稿联系:编辑部
电话:010-62313558-806
邮箱:fsfhzy666@163.com
中国腐蚀与防护网官方 QQ群:140808414
免责声明:本网站所转载的文字、图片与视频资料版权归原创作者所有,如果涉及侵权,请第一时间联系本网删除。
官方微信
《中国腐蚀与防护网电子期刊》征订启事
- 投稿联系:编辑部
- 电话:010-62313558-806
- 邮箱:fsfhzy666@163.com
- 中国腐蚀与防护网官方QQ群:140808414



